최근 20~40대 사이에서 원인을 알 수 없는 요통, 엉덩이 통증, 피로감을 호소하며 병원을 찾는 사례가 늘고 있습니다. 그 중 많은 환자들이 뒤늦게 **강직성 척추염(Ankylosing Spondylitis)**이라는 진단을 받고 놀라기도 하죠.
“아침에 일어나면 허리가 뻣뻣하고 통증이 심해요.”
“앉아 있다 일어나면 허리를 펼 수가 없어요.”
“디스크인 줄 알았는데 자가면역질환이라니…”
오늘 이 글에서는 강직성 척추염의 정의부터 증상, 원인, 진단, 치료법, 생활 관리 팁까지
처음부터 끝까지 이해하기 쉽고 정확하게 설명해 드리겠습니다.

✅ 강직성 척추염이란?
강직성 척추염은 주로 척추와 관절에 염증이 발생하여
점차적으로 뼈가 굳고 움직임이 제한되는 자가면역질환입니다.
쉽게 말해, ‘척추가 굳어져 유연성을 잃고 강직(굳어짐)’ 되는 병
특히 젊은 남성에게서 흔히 발병하며, 조기에 진단하지 않으면
척추가 완전히 강직되어 굽은 자세로 고정될 수 있는 무서운 병입니다.
강직성 척추염의 원인
아직까지 정확한 원인은 밝혀지지 않았지만,
다음과 같은 요인들이 영향을 미치는 것으로 알려져 있습니다.
🔹 1. 유전적 요인 (HLA-B27 유전자)
- 전체 환자의 90% 이상이 HLA-B27 양성
- 유전적 소인이 큰 자가면역질환
🔹 2. 면역계 이상
- 우리 몸의 면역체계가 자신의 관절을 공격
- 만성 염증 발생 → 뼈와 관절이 손상
🔹 3. 장내 세균과의 연관성
- 일부 세균(예: 클렙시엘라균)과의 교차반응 가능성

주요 증상 정리
| 허리 통증 | 특히 아침에 뻣뻣하고 움직이면 풀림 |
| 엉덩이·골반 통증 | 천장관절염 증상, 한쪽 또는 양쪽 반복 |
| 흉통 | 가슴 통증, 심할 경우 숨쉬기 어려움 |
| 피로감 | 만성 염증으로 인한 피로 |
| 척추 굽음(후만) | 치료하지 않으면 등이 굽고 목이 앞으로 기울어짐 |
| 눈의 염증(포도막염) | 결막충혈, 시야 흐림, 통증 등 동반 가능 |
✅ 디스크처럼 특정 자세에서 악화되는 게 아니라, 오히려 움직이면 좋아지고 오래 앉아 있으면 악화되는 것이 특징입니다.
진단은 어떻게 하나요?
강직성 척추염은 단순한 허리통증과는 달리
조기 진단이 어려운 자가면역 질환입니다.
진단 기준
- 증상 확인: 3개월 이상 지속된 요통 + 아침 강직
- 혈액검사: 염증 수치 (CRP, ESR), HLA-B27 확인
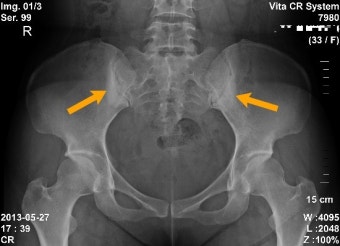
- X-ray: 천장관절 이상 확인
- MRI: 초기 염증 확인 가능
💡 조기에는 X-ray에 변화가 없을 수 있으므로 MRI 검사 필수!

치료 방법은?
강직성 척추염은 완치가 어려운 만성 질환입니다.
하지만 조기 진단 후 꾸준한 치료와 관리로 증상을 크게 완화시킬 수 있습니다.
1. 약물 치료
| NSAIDs (소염진통제) | 통증과 염증 완화에 1차적으로 사용 |
| DMARDs (질병조절 항류마티스제) | 설파살라진 등, 말초관절 침범 시 사용 |
| 생물학적 제제 (TNF-α 억제제) | 에타너셉트, 아달리무맙 등 / 효과 빠르고 강력하지만 고가 |
| IL-17 억제제 | 세쿠키누맙 등, TNF 억제제 불응 시 사용 |
🟡 생물학적 제제는 자가주사 형태로 투여되며, 효과가 빠르지만 보험 적용에 따라 가격 부담이 있을 수 있습니다.
2. 운동 치료
강직성 척추염 관리의 핵심은 규칙적인 스트레칭과 자세 유지 운동입니다!
- 척추 유연성 유지 운동
- 흉곽 확장 운동 (깊은 호흡, 상체 스트레칭)
- 수영, 요가, 필라테스 추천
- 아침에 굳은 몸 풀기 운동
3. 생활 습관 개선
- 베개는 낮게, 침대는 단단하게
- 장시간 앉는 자세 피하기
- 올바른 자세 유지: 구부정한 자세 금물
- 금연: 흉곽 유연성 저하 방지
- 스트레스 관리: 자가면역 질환과 직접적 연관

강직성 척추염의 경과와 예후
| 초기 | 허리, 엉덩이 통증 / MRI에서 염증 확인 |
| 중기 | 척추 뻣뻣함, 흉통, 관절통 시작 |
| 말기 | 척추가 굳고 굽은 자세 고정 가능성 ↑ |
하지만 조기 진단 + 치료 시 대부분의 환자들은 일상생활을 유지하며 지낼 수 있습니다.
자주 묻는 질문 (FAQ)
Q. 강직성 척추염은 유전인가요?
A. HLA-B27 유전자가 있는 가족 내에서 발병 확률이 높지만, 유전자가 있어도 반드시 발병하는 건 아닙니다.
Q. 강직성 척추염이 디스크와 다른 점은?
A. 디스크는 움직이면 통증 증가, 강직성 척추염은 움직이면 통증 완화되는 차이가 있습니다.
Q. 생물학적 제제 꼭 써야 하나요?
A. NSAIDs에 반응이 없거나, 염증이 심한 경우에는 생물학적 제제가 큰 도움이 됩니다.
Q. 운동하면 낫나요?
A. 운동은 필수이지만, 치료를 대체할 수는 없습니다. 약물 + 운동 병행이 이상적입니다.
✅ 정리: 강직성 척추염, 조기 발견과 관리가 핵심입니다!
✔ 3개월 이상 지속되는 요통과 엉덩이 통증이 있다면,
✔ 특히 아침에 심하고 움직이면 좋아진다면,
👉 강직성 척추염을 의심해보고 류마티스내과 진료를 꼭 받아보세요.
이 질환은 방치하면 척추가 완전히 굳어지는 심각한 질환이지만,
조기에 진단받고 치료하면 건강한 일상 유지가 충분히 가능합니다.
'건강' 카테고리의 다른 글
| 비타민 D 꼭 먹어야 하는 이유 5가지 (0) | 2025.05.07 |
|---|---|
| 안검하수란? 눈이 작아 보이는 이유, 단순 미용 문제가 아닙니다 (0) | 2025.05.06 |
| 등이 아프면 암일 가능성이 있나요?? (0) | 2025.05.03 |
| 뱃살 다이어트 운동, 집에서 쉽게 시작하는 완벽 가이드 (0) | 2025.05.02 |
| 아킬레스건 통증, 왜 생기고 어떻게 해결할까? (완전 정복 가이드) (0) | 2025.04.29 |